当院は、まぶた、眼窩、涙道に特化した眼形成手術の専門施設です。豊富な経験と専門的な知識をもとに、一人ひとりのお悩みに寄り添い、最適な治療をご提案いたします。
他院で修正することが難しいと判断された方でも、今まで来院されたほとんどの方が治療が可能ですので、まずは一度ご相談いただけたらと思います。
バセドウ病・甲状腺眼症の大きな問題点は、
点滴や内服の治療を受けて安定期に入っても、風邪のように治ったら元通りではなく、
以前とは全く異なる
見た目・容姿になってしまうことです。
目次
甲状腺眼症では顔つきが変化してしまうため、
人生が一変してしまう方がいます。
写真を撮るのが嫌になって家に引きこもってしまったり、不登校になったりする患者さんをたくさん診てきました。
我々はそのようになってしまった人生を取り戻すことを治療のゴールに置いています。
元の状態と全く同じ状態になるわけではありませんが、
出来るだけ元々の顔つきに戻すようにしたいと思って
他の医療施設では行っていない治療を提供してまいりました。
幸いにして多くの患者さんから喜びの声をいただいております。
顔つきの変化にお悩みの方は是非ご相談いただけたらと思います。
当院は、まぶた、眼窩、涙道に特化した眼形成手術の専門施設です。豊富な経験と専門的な知識をもとに、一人ひとりのお悩みに寄り添い、最適な治療をご提案いたします。
他院で修正することが難しいと判断された方でも、今まで来院されたほとんどの方が治療が可能ですので、まずは一度ご相談いただけたらと思います。
年間1万2,000件以上の眼形成手術実績をもつ眼形成手術専門医・鹿嶋友敬医師の書籍『甲状腺眼症 ~私が自分の目を取り戻すまで』が、1月21日よりAmazonにてPOD(プリント・オン・デマンド)版および電子書籍で発売開始となりました。
本書は、甲状腺眼症をテーマにまとめられた一冊で、Amazonにてご購入いただけます。

バセドウ病・甲状腺眼症では、眼球の後ろにある脂肪が増えたり、眼球を動かす筋肉が膨らんだりすることで眼球が前に出てしまい、顔貌が大きく変化してしまいます。
当院で行っている眼窩脂肪減圧術は、米国留学で得た専門的な医療を元に、海外の著名な先生方から知識を得て、顕微鏡を使ってさらに日本流に細かく行うことで大切な組織の障害を減らしたという世界の知見の集大成である手術です。
世界中でこの手術を行っている医療機関はありません。
この手術は視機能に関連する神経と血管を避け、増えた脂肪だけを取り除く手術であり、非常に繊細で特殊な技術を必要とします。骨を切除する減圧術は、神経や血管を避けて脂肪を取り除く技術が無いために考え出された手術ですが骨を切除するため身体的負担が重く、術後の痛みや出血のため1〜2週間の入院を必要とします。
当院の眼窩脂肪減圧であれば両眼同時で日帰り全身麻酔で行い、当日のうちに帰宅することが可能ですので、仕事や家庭への影響を最小限に抑えることが可能です。残念ながら専門的な手術であるため健康保険の適応になりませんが、病気によりお悩みの方は是非当院の眼窩脂肪減圧術を選んでいただけたらと思います。
こちらの女性は、バセドウ病眼症の発症から、
・ステロイドパルス
・眼窩(がんか)減圧
・追加脂肪切除
・斜視手術(他院にて)
主に上記の治療を行いました。
治療前後を比較すると非常にキレイになり、顔つきが全然違うことが分かるかと思います。
手術をすることで治療前後の差は一目瞭然で、発症前の美しい顔立ちに戻ることができました。
バセドウ病眼症は美人病と呼ばれていたこともあるようですが、こちらの症例を見ると「発症すると美人になる」は見当違いなことが分かります。
| 主訴 | 甲状腺眼症 |
|---|---|
| 治療費 | 藤本先生 ¥990,000 目のクマへの脂肪移植 |
| 治療内容 | 眼窩(がんか)減圧 |
| 治療のリスク | 出血、腫脹、複視の出現または悪化、視力障害、過矯正、低矯正 |
| 主訴 | 甲状腺眼症 |
|---|---|
| 治療内容 | 眼窩減圧術 |
| 治療の リスク |
出血、腫脹、複視の出現または悪化、視力障害、過矯正、低矯正 |
| 主訴 | 甲状腺眼症 |
|---|---|
| 治療内容 | 眼窩減圧術 |
| 治療の リスク |
出血、腫脹、複視の出現または悪化、視力障害、過矯正、低矯正 |
バセドウ病・甲状腺眼症の大きな問題点は、点滴や内服の治療を受けて安定期に入っても、風邪のように治ったら元通りではなく、以前とは全く異なる見た目・容姿になってしまうことです。
特に見た目の変化が起こるのは、その多くが若い女性であるということが問題です。英語ではこの醜い眼球突出をDisfiguring Proptosis(眼球突出による醜形)と呼んでいます。
「内科的な数値が安定すれば眼球突出も治る」などと間違ったことを言われていることもありますが、一度突出したら元には戻りません。
多くの方々がこのような状態に対して苦しんでいますが、バセドウ病・甲状腺眼症に対する手術治療を行っている施設は全国にもほんの数か所程度しかありません。
かつ眼科の中では、かなり大掛かりな手術になるため、数週間の入院を必要としている施設もあります。そのような理由から、比較的軽度の眼球突出に対する手術を行っている施設はほとんどありません。
このような方々に対して、我々は専門的な知識・経験をもとに出来る限り整容的な観点を重視した手術を行っています。
他院で手術の適応がないと断られた方々でも我々の施設で手術を行う方は多くおられます。また治療が出来ないとあきらめていたため発症から長い時間、何十年も経過していた方も手術を受けに来られます。是非一度ご相談だけでも頂けたらと思います。

吉田貴子先生は、31才でバセドウ病を発症、合併症として甲状腺眼症を発症され、約16年間苦しまれていました。
そこで2020年9月、当院で甲状腺眼症の手術を行い、無事に成功しました。その際のブログ記事がございますので、是非ご一読ください。
ブログはこちらから渋谷スキンクリニックは、皮膚科学と美容皮膚科学、そしてメディカル・エステを融合させた、トータルスキンケアのためのクリニックです。皮膚トラブルから、ホームケアまで幅広く対応されています。
渋谷スキンクリニックHPバセドウ病眼症ってどんな病気??
バセドウ病眼症を医師が解説!
バセドウ病眼症の活動性の評価・
活動期と非活動期について
~バセドウ病眼症を医師が解説!
バセドウ病眼症の活動期の治療
ステロイド投与方法について~
バセドウ病眼症を医師が解説!
バセドウ病眼症の自己抗体・
TRAb/TSAbについて
~バセドウ病眼症を医師が解説!
バセドウ病・甲状腺眼症 説明ビデオ
眼窩減圧術治療動画
「甲状腺眼症について
よくある質問」を詳しく見る
「バセドウ病症例集」を詳しく見る
副腎皮質ステロイド・放射線治療などの内科的治療で治らなかった場合に、手術が必要となります。
下記にそれぞれ手術方法を3つ説明します。
眼窩減圧術は球後の組織を切除する手術ですが、切除する部位によって術式が分けられます。
眼球と筋肉は切除出来ませんから、切除出来るのは増えてしまった脂肪と骨です。
骨は上下内外の4つに分けられます。
このうち上は脳に近く、減圧の効果も少ないので通常は行いません。内壁・下壁・外壁の3か所になります。
脂肪については眼球や筋肉、神経などの周囲に散在しています。
このうち眼窩脂肪の切除と眼窩外壁の切除では、新規複視の発生率が約3%とされていますが、内壁や下壁については10-50%とされ、新規複視の発生率が高いということが知られています。
内壁や下壁の骨は薄いので切除することが容易ではありますが、その分複視の発生率が高いため日常生活に支障が出る危険性が高いのです。
また下壁には頬の知覚神経が通っているため頬の知覚鈍麻を起こす可能性が高いのです。
一方で眼窩外壁の切除は新規複視の発生率は低いのですが、脳や眼の重要な神経や血管に近いため、切除するのに特殊な知識と経験が必要であり、熟練した術者しか行うことが出来ないという現実があります。
当院で行っている眼窩脂肪減圧術は、身体への負担を極力避けた方法で行います。眼窩脂肪を切除する術式を第一選択とし、複視の頻発する下壁・内壁の除去を避けることで複視の発生率を下げるよう努力をしています。またこれらの手術を行う際に、主としてまぶたの裏の結膜や、皮膚のシワの中を切開するため傷跡はほとんど残りません。さらに手術回数が少なくなるよう、両眼同時手術を行っています。近隣の自治体の方であれば当日帰宅も可能ですが、遠方の場合には術後近隣のホテルへの宿泊をおすすめしています。

主に眼窩脂肪を切除する術式や、外壁を削る術式を第一選択とし、 複視の頻発する下壁・内壁の除去を避けることで複視の発生率を下げるよう努力をしています。
また、これらの手術を行う際に、まぶたの裏の結膜や皮膚のシワの中を切開するため、傷跡はほとんど残りません。
さらに手術回数が少なくなるよう、両眼同時手術を行っています。
近隣の自治体の方であれば当日帰宅も可能ですが、 遠方の場合には術後近隣のホテルへの宿泊をおすすめしています。

オレンジが眼窩内壁・黄色が眼窩下壁である。

青が眼窩外壁、紫が眼窩上壁である。
緑は蝶形骨大翼で、外壁の切除の場合ここまで切除することが多い。

下眼瞼結膜からの手術の場合には下眼瞼を中心として内出血が出ます。
内出血は約3週間で治癒します。
まぶたの腫れは目立ちません。
バセドウ病眼症では、眼球を動かす筋肉が肥大して固まってしまうため、2つの眼球が違う方向を向くことがあります。
斜視手術は眼を動かす筋肉を動かすことによって、2つの眼球の向く方向を同じにすることが出来ます。 当院で手術は行わず、専門家の病院を紹介させて頂くことが多いです。
上記の眼窩減圧術もしくは斜視手術のあとで選択されます。
バセドウ病眼症では上眼瞼が吊り上がる、眼瞼後退という状態になっていることがあり、最後にこの手術を行います。 状態によっては上眼瞼のみならず下眼瞼にも行うことがあります。
また眼瞼に増えた脂肪を切除することもあります。 眼球突出に伴って逆さまつ毛を発症する場合もありますので、その手術を行うこともあります。



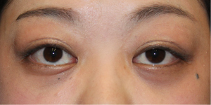
こちらは発症前の写真です。
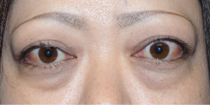
顔貌の変化と左右差のある眼球突出を主訴に来院されました。




発症前の顔貌から、術前の顔貌へ大きく変化してしまっていることが分かります。右目の見開きが大きく、上下の白目の露出が非常に大きくなっています。それに伴い左右差のある顔貌となっています。
眼窩減圧を行って術後には顔貌がかなり改善しているのがわかります。さらに減圧をすることも出来たのですが、大きな改善が得られ満足されましたのでこれで終了となりました。
両側の眼球突出と左上眼瞼の眼瞼後退があり来院されました。




この症例でも左眼の眼球突出が強く、上下の白目が露出している状態です。突出の左右差のため、顔貌の左右差が非常に強く出てしまっています。
この状態に対して眼窩減圧手術を行い、その後眼瞼後退の手術を行いました。術後には眼球突出が改善し見開いたような表情が改善し、柔和な表情になっています。

こちらは発症前の写真です。
顔貌の変化と左右差のある眼球突出を主訴に来院されました。




眼窩減圧手術により美しい顔つきになっていることが分かります。体的には上のまぶたの腫れぼったさが無くなり、二重瞼のラインが深くなっています。
眼窩減圧術を行いました。




バセドウ病眼症により術前にあった上下のまぶたの腫れが、 術後には無くなってスッキリした状態になっているのが分かります。 眼球突出が軽減するとドライアイ症状(充血する、ごろごろする、涙目になるなど)も改善します。

眼窩減圧術はバセドウ病ではない原因による眼球突出に対しても行うことが出来ます。
眼球突出により醜形をきたしていたり、兎眼やドライアイになっていたりする場合には手術適応があると考えます。
ご相談はこちらから「眼窩減圧術
出目・はなれ目修正」を詳しく見る
「他院手術後の
修正手術」を詳しく見る
「眼窩減圧術
出目・はなれ目修正」を詳しく見る
| 両眼/片眼 | |
| 眼窩(がんか)脂肪減圧術 | 藤本先生 ¥990,000 木﨑先生 ¥550,000 目のクマへの脂肪移植 +¥220,000 |
上記の金額はすべて税込表示です。
オペを受けられた場合、手術代金から自費診察料を差し引きます。
「甲状腺眼症について
よくある質問」を詳しく見る
「ドクター紹介」を詳しく見る
「アクセス・医院情報」を詳しく見る
「治療費」を詳しく見る
「治療案内」を詳しく見る
「眼瞼下垂手術」を詳しく見る
「眼窩減圧術
出目・はなれ目修正」を詳しく見る
「バセドウ病眼症・
甲状腺眼症」を詳しく見る
当院は、まぶた、眼窩、涙道に特化した眼形成手術の専門施設です。豊富な経験と専門的な知識をもとに、一人ひとりのお悩みに寄り添い、最適な治療をご提案いたします。
他院で修正することが難しいと判断された方でも、今まで来院されたほとんどの方が治療が可能ですので、まずは一度ご相談いただけたらと思います。
オキュロフェイシャルクリニックグループは、
東京、大阪、京都、千葉、新前橋の5つのクリニックを日本全国に展開する、眼形成外科の専門クリニックです。
私たちは、年間1万件以上の眼形成手術実績を持ち、日本全国No.1の治療実績を誇ります。
各クリニックでは、眼形成外科医が手術を担当し、
他の美容外科では得られない高度な技術と専門性を提供しています。
眼瞼下垂、目の下のたるみやクマ取り、ハムラ法、なみだ目治療、バセドウ病眼症、眼球突出、他院修正手術など、眼と目元に関するあらゆる悩みに対応します。
私たちの眼形成外科医は、自然で美しい仕上がりをお約束し、患者様の満足を第一に考えています。
オキュロフェイシャルクリニックグループでは、
最新の技術と豊富な経験を持つ専門医が皆様をお迎えし、安心して治療を受けていただける環境を整えています。
各クリニックは、それぞれの地域で皆様に質の高い医療を提供することを目指し、日々努力しています。
どうぞ、お近くのクリニックにご相談ください。
| 診療時間 | 月 | 火 | 水 | 木 | 金 | 土 | 日 |
|---|---|---|---|---|---|---|---|
| 8:15〜17:15 | - | ◯ | ◯ | ◯ | ◯ | ◯ | - |
[休診日]月曜・日曜・祝日
※水曜は12時まで診療
※当院の診療は完全予約制になります。